ÀϹÝÁø·á
ÅëÇÕÄ¡ÀÇÇÐ Àü¹®Àǰ¡ óÀ½ºÎÅÍ ³¡±îÁö Ã¥ÀÓÁø·á
ÁøÇà ´Ü°è¿¡ ¸Â´Â Á¤È®ÇÑ Ä¡·á
ÃæÄ¡Ä¡·á
Ä¡°ú 3´ë Áúȯ Áß
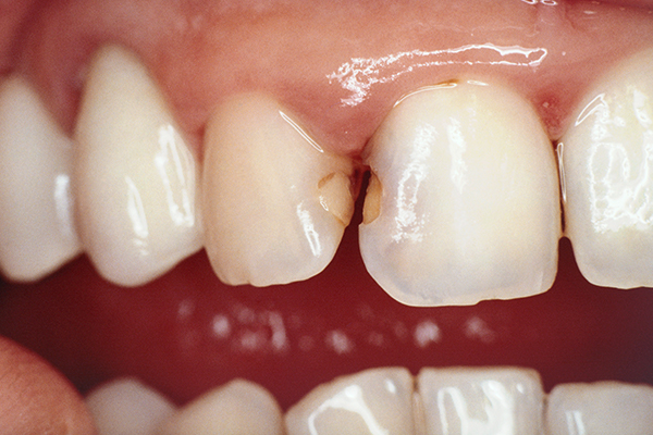
°¡Àå ÈçÇÑ ÃæÄ¡(Ä¡¾Æ¿ì½ÄÁõ)
Ä¡¾ÆÀÇ ÆÄ¼Õ¡¤¼Õ»ó, ÃæÄ¡°¡ ¹ß»ýÇÏ°í ³ ÈÄ ¹æÄ¡ÇØµÎ¸é ¾î´À ¼ø°£ ÅëÁõÀÌ Å©°Ô ´À²¸Áö°Ô µË´Ï´Ù.
À̶§ Ä¡·á¸¦ ¹Ì·ç°Å³ª ¹æÄ¡ÇÏ¸é ¿°ÁõÀÌ ¹ß»ýÇÏ°í ¼¼±Õ¿¡ °¨¿°µÇ¾î ½Å°æÄ¡·á°¡ ÇÊ¿äÇÏ°Ô µË´Ï´Ù.
õ¾È365Ä¡°ú´Â ÁøÇàµÇ°í ÀÖ´Â ÃæÄ¡¿Í Á¤ÁöµÈ ÃæÄ¡¸¦ ±¸º°ÇÏ¿© Ä¡·á ÇØµå¸®°í ÀÖÀ¸¸ç Ä¡¾Æ¸¦ À§ÇØ ²À ÇÊ¿äÇÑ Ä¡·á¸¦ Çϱâ À§ÇØ ³ë·ÂÇϰí ÀÖ½À´Ï´Ù.
ÃæÄ¡ÀÇ ÁøÇà´Ü°è
ÃæÄ¡°¡ ¹ý¶ûÁúÀÇ Ç¥¸é¿¡¸¸ »ý±ä ´Ü°è·Î ¾ÆÇÁÁö´Â ¾ÊÀ¸³ª ¹ý¶ûÁúÀÌ Ä§½ÄµÇ¾î º¸Åë ±î¸Ä°Ô º¯ÇÕ´Ï´Ù.
ÃæÄ¡°¡ ÁøÇàµÇ¾î »ó¾ÆÁú¿¡ À̸£°Ô µÇ¸é¼ ¿òÇ« ÆÐÀÌ´Â °ø°£ÀÌ »ý±â¸ç Â÷°í ¶ß°Å¿î°ÍÀ» ¸ÔÀ» ¶§ ÅëÁõÀ» ´À³§´Ï´Ù.
ÃæÄ¡±ÕÀÌ Ä¡¼ö Á¶Á÷±îÁö ħ¼öÇÑ ´Ü°è·Î½á ½Å°æÀÌ ¼Õ»óµÇ¾î Ưº°ÇÑ ÀÚ±ØÀÌ ¾ø¾îµµ ½É°¢ÇÑ ÅëÁõÀ» ´À³§´Ï´Ù.
Ä¡±Ù°ú ÅλÀ »çÀÌ¿¡ Ä¡Á¶°ñ°ú ÀÕ¸ö±îÁö ¿°ÁõÀÌ ÆÛÁ® À̰¡ Èçµé¸³´Ï´Ù.
ÀÌ·± °æ¿ì ¹ßÄ¡°¡ ºÒ°¡ÇÇ ÇÕ´Ï´Ù.
ÃæÄ¡Ä¡·á, ÀÌ·±ºÐ²² ÃßõÇÕ´Ï´Ù.
ÀÎÁ¢ Ä¡¾Æ¿¡ ÃæÄ¡ ÀüÀÌ
Ä¡ÁÖÁúȯ¡¤ÀÕ¸öÁúȯ À¯¹ß
±¸Ãë¿Í ¿°Áõ ¹ß»ý
½Å°æ±îÁö ÀüÀÌµÉ °æ¿ì ¹ßÄ¡